Night Guards - Smile Brilliant
Skip to main content Skip to navigation Skip to footer

Please rotate your device to portrait mode for optimum user experience.

Available discounts

Login to Smile br!lliant

Access your Smile Brilliant account to manage your teeth whitening treatments, track orders, and explore personalized oral care solutions.

Forgot Password?
Back

Reset Password

Lost your password? Please enter your username or email address. You will receive a link to create a new password via email.

My Account

Manage your personal profile
My Account Icon
PROFILE
Manage and edit your name email or password
  • Profile
  • Social
  • Password
  • Insurance Provider
  • Oral Health Questionnaire
Orders and Subscriptions
Track, return or buy items again.
  • Orders
  • Subscriptions
Billing
Manage and edit your billing profiles
  • payment methods
  • Add payment methods
Shipping
Manage your shipping addresses.
  • shipping address
  • Add shipping
Reward
Earn commissions & perks
  • Become anAffiliate
  • referrals
  • Statistics
  • Graphs
  • payouts
  • visits
  • All Referral
  • settings
Customer Support
Connect with Smile Brilliant customer service.
  • All tickets
  • new tickets
Sign Out
Log out of Dashboard

Return or Replace

Return Items

Order Number#

  • Return Item
  • Replace Item
Next
Submit

Cancel Order

SmileBrilliant Logo SmileBrilliant
0
×

Sign up for special offers and updates

×
SUCCESS!

The prices on the website have now been changed to reflect your discounts on Night Guards. An email has also been sent to your inbox so you can login and access your discounts at any time in the future.

See Night Guard Discounts
×
SUCCESS!

The prices on the website have now been changed to reflect your discounts on Night Guards. An email has also been sent to your inbox so you can login and access your discounts at any time in the future.

Let's get started!

See Night Guard discounts
OR
See Dental/vision/RX discounts
Gum Disease Awareness SaleGum Disease Awareness Sale Sale Ends:
 [ days :
hrs
:
mins
: sec ]
SEE DEALS
SmileBrilliant Logo SmileBrilliant
  • DENTAL SAVING PLANS
    • SH!NE DENTAL SAVINGS PLANS
    • Instant savings on
      oral care products & dental services.
    • I do NOT HAVE dental insurance
    • I have dental insurance
  • CUSTOM TRAYS & GUARDS
    • Best TRAYS & GUARDS
    • CUSTOM NIGHT GUARDS
      Complete Night Guard System
    • CUSTOM WHITENING TRAYS
      Complete Whitening Trays & Gel System
    • PROSHIELD SPORTS GUARDS
      Custom-fitted Sports Mouth Guards
    • Tray Cleaning Tablets
    • NEW! Ultrasonic Tray Cleaner
  • Teeth whitening
    • Best Teeth Whitening
    • CUSTOM WHITENING TRAYS
      Complete Whitening Trays & Gel System
    • NEW! DENTAL STAIN CONCEALER
      Purple Toothpaste Stain Concealer
    • WHITENING GEL REFILLS
      Professional Strength Teeth Whitening Gel
    • DESENSITIZING GEL REFILLS
      Remineralization & Tooth Sensitivity Gel
    • Whitening Tray Cleaning Tablets
    • NEW! Ultrasonic Tray Cleaner
    • Tray Replacement Reorder
    • Enamel Armour™ for Sensitive Teeth
    • Teeth Whitening Kit Reviews
    • 10 Facts About Teeth Whitening
  • NIGHT GUARDS
    • CUSTOM NIGHT GUARDS
    • CUSTOM NIGHT GUARDS
      Complete Night Guard System
    • REORDER MORE NIGHT GUARDS
      Existing Customer Login for Fast Reorder
    • Night Guard Cleaning Tablets
    • NEW! Ultrasonic Tray Cleaner
    • NEW! Enamel Building Gel
  • oral Care
    • ORAL CARE PRODUCTS
    • ELECTRIC TOOTHBRUSH
      Best Electric Toothbrush Packages
    • CORDLESS WATER FLOSSER
      Award Winning Electric Water Flosser
    • DENTAL PROBIOTICS
      Bad Breath. Immune Support. Cavities.
    • NEW! LASSO™ TONGUE SCRAPER
      Remove more bacteria in 10 seconds
    • NEW! ENAMEL ARMOUR™
      Rebuilds Enamel & Reduces Sensitivity
    • PLAQUE HIGHLIGHTERS™
      Highlight Plaque & Tartar For Better Brushing
    • DENTAL FLOSS PICKS
      U-Shaped Disposable Floss Tool
    • Replacement Toothbrush Heads
    • Plaque Highlighters™ For Kids!
    • Dental Probiotics For Kids!
    • Retainer Cleaning Tablets
    • NEW! Ultrasonic Cleaner
  • NEW! Skin care
  • EDUCATION
    • EDUCATION
    • MASTERING-THE-BRUSH
      At-home preventive care
    • UNDERSTANDING GUM DISEASE
      What Is Gum Disease?
    • BEYOND THE BRUSH
      Complete Guide To Flossing
    • NAVIGATING BRUXISM
      What is Bruxism?
    • THE VARIOUS CAUSES OF BRUXISM
      NO SINGLE FACTOR IS SOLELY RESPONSIBLE
    • 10 FACTS ABOUT TEETH WHITENING
      Best Practices for Whitening Teeth
    • Sensitive Teeth Guide
      Causes & Remedies for Sensitive Teeth
    • The Science of Bad Breath
      Causes & Remedies for Bad Breath
    • 5 FACTS ABOUT ORAL PROBIOTICS
      Understanding Oral Micriobiome
    • ANATOMY OF TEETH
      There's more to teeth than most realize
    • Teeth Whitening Knowledge Center
      A crash course education before you invest in your smile.
    • PERIODONTAL DISEASE
      Early stage reversal & late stage management
    • Science & Articles
  • Support
    • Support
    • Frequently Asked Questions
    • REVIEWS
    • Contact Us
    • About Us
    • Guarantee
    • Cruelty-Free Certification
text added
0
Available discounts
 1  2  3  4
Get $25
Lab-Direct. Custom-Fitted.
NIGHT GUARDS
4.9 (32,000+ Reviews)
For Teeth Grinding & Clenching
Money back Guaranteed logo
  • 70% Less. Lab-Direct with NO Dentist Visit.
  • 45 Day Risk-Free Trial. Money Back Guarantee.
  • Convenient, Life-Time Reorders.
  • FREE Impression Kit. FREE 3-Way Shipping.

Discounts for GEHA members!

Why Choose Us?
person with night guard kit

America’s #1 Custom Night Guard. Delivered to Your Door.

Nearly 1 million happy customers... and growing!
  • 70% Less. Lab-Direct with NO Dentist Visit.
  • 45 Day Risk-Free Trial. Money Back Guarantee.
  • Convenient, Life-Time Reorders.
  • FREE Impression Kit. FREE 3-Way Shipping.
Why Choose Us?

THE BEST NIGHT GUARDS FOR A REASON

45 Day Risk-Free Trial. 100% Money Back Guarantee. FREE 3-way shipping.

Better fit. Better sleep! Laser scanned & 3D printed for optimal comfort

No one wants a loose mouthguard falling out or inhibiting breathing. We use the latest in laser scanning and 3D printing to ensure a precision fit that won’t fall out.

Your dental impressions can be used for more than just night guards!

Your dental impressions are stored digitally for fast, one-click reordering. These same models can be used anytime in the future to purchase night guards, custom teeth whitening trays or sports guards! As a client with dental models on file, you are able to purchase any of our custom-fitted products at any time.

Trusted by dentists & Insurance. The best product, best service, and the largest in the country.

Smile Brilliant is the largest, consumer-direct dental lab in America! We use our high volume to reduce cost and pass those savings on to our customers. Our state-of-the-art dental lab is trusted by dentists, insurance providers and customers alike.

...and we’re HSA & FSA Eligible!

desk-top-circle mobile-circle
OVER 40 MILLION AMERICANS
WILL HAVE BRUXISM (TEETH GRINDING) IN THEIR LIFETIME.

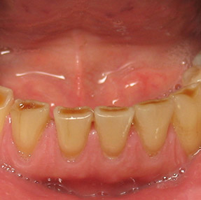
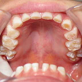
Whether it’s stress, anxiety, or an abnormal bite, the effects can be devastating. Grinding your teeth at night can lead to sleeplessness, sore jaw, and dull headaches. Over years, your teeth get worn down (attrition), become highly sensitive, and may require extensive dental work.

CUSTOM-FITTED NIGHT GUARDS

CHOOSE YOUR PACKAGE

Each of our packages includes the impression creation kit, lab service, and
delivery of your custom-fitted night guards. You choose a package and save up to
65% with lifetime reorders.

1 Ultra-Durable Night Guard

LIGHT

Compare to $450 at your dentist! Includes 1 custom-fitted night guard (upper) & travel cases. FREE shipping & 45 day money back guarantee. Your dental impressions are kept on file for easy reorder.

Rating: 4.6 stars
Material: Soft 2mm 3mm (Latex & BPA free)
Usage: Lasts 3 mo with heavy grinding.

Free Shipping. Free impression kit.

Lifetime reorder for only $80 $90 /guard!

13%

$13033

$148.95

 

You Save $29 with GEHA Member Perks

13%

$13908

$158.95

 

You Save $29 3mm with GEHA Member Perks

Buy Now
Buy Now

4 Ultra-Durable Night Guards

BEST VALUE

Compare to $750 at your dentist! Includes 4 custom-fitted night guards (upper) & travel cases. FREE shipping & 45 day money back guarantee. Your dental impressions are kept on file for easy reorder.

Rating: 4.9 stars
Material: Soft 2mm 3mm (Latex & BPA free)
Usage: Lasts 1 yr with heavy grinding.

Free Shipping. Free impression kit.

Lifetime reorder for only $49 $59 /guard!

13%

$17058

$194.95

 

You Save $29 with GEHA Member Perks

13%

$19683

$224.95

 

You Save $29 3mm with GEHA Member Perks

Buy Now
Buy Now

2 Ultra-Durable Night Guards

AVERAGE

Compare to $550 at your dentist! Includes 2 custom-fitted night guards (upper) & travel cases. FREE shipping & 45 day money back guarantee. Your dental impressions are kept on file for easy reorder.

Rating: 4.9 stars
Material: Soft 2mm 3mm (Latex & BPA free)
Usage: Lasts 6 mo with heavy grinding.

Free Shipping. Free impression kit.

Lifetime reorder for only $75 $85 /guard!

13%

$14433

$164.95

 

You Save $29 with GEHA Member Perks

16%

$15308

$181.95

 

You Save $29 3mm with GEHA Member Perks

Buy Now
Buy Now

HSA & FSA APPROVED!

Simply use your HSA or FSA card at checkout
image image

THE PROCESS

image
1
Order the impression kit
Order the complete package and make your dentaI impressions in less than 15 minutes. Send us your impressions in prepaid envelope (included for US)
15
minutes
time it takes to create your dental impression
2
Our lab creates your guards
Our lab receives your dental impressions, crafts, an exact model of your teeth, and hand finishes a truly custom-fitted night guards.
3-5
work days
time needed for our lab to create your custom-fitted NIGHT GUARDS
image
3
Stop the damage
Wear your night guards while you sleep. Save your teeth and your money. Your dental models are kept on file for convenient reordering.
3-12
months
EACH GUARD WILL LAST AROUND 3 MONTHS (WITH HEAVY GRINDING) BEFORE THEY WEAR OUT
CURIOUS WHAT PEOPLE THINK?
Nearly 1 million happy customers... and growing!

"I used to wake up every morning with jaw pain and headaches until I started using the night guard I got from this company. The custom fit is quite comfortable and I barely notice it at night. Would highly recommend for anyone with bruxism or TMJ issues."

Andrew H.
customer

"I was frustrated to learn that my teeth have begun to wear down. I wish my dentist would have told me earlier. Yesterday was my 6 month checkup and no new damage. Your night guard seems to have worked!

Meghan L.
customer

"It took a while to make a decision on a custom night guard but your reviews online were quite good. Your customer service woman (Meredith I think?) was super helpful and everything she told me aligned with what my dentist said. I appreciate the honesty. Definitely the best price and quality I have found online"

Landon J.
customer

"The impression kit was surprisingly easy to use at home. The night guard arrived a couple weeks later and fit my teeth perfectly. It took some adjustment to get used to sleeping with it, but now that I'm used to it, I sleep much better."

Mariam P.
customer

"I was skeptical about making my own dental impressions but the kit made it easy. The labs crafted a comfortable night guard and my dentist said it was an acceptable for my needs."

Alicia S.
customer

"I ordered the 4 guard package and have had no issues. I’m happy with the service and quality. The night guards fit well and has lasted over a year with no issues. Please tell me how I can clean them!"

Stephen S.
customer

"I upgraded to your product after a few years of getting the boil and bite from CVS. The price was quite a bit more but yours seem to last quite a bit longer and are far more comfortable. I’d find my boil and bit in my bed some nights but your night guard stays in and I havent woken up without it yet. I will be a repeat "

Eric L.
customer

"My dentist wanted to charge me an absurd amount for a night guard so I took a chance with this company. I was pleasantly surprised by what a quarter of the price got me. My guard fit perfect and the instructions for making the impression were easy.”

Jaclynn K.
customer

"Fits really really well and does the job as described. You might consider offering more guidance on how to clean them for first-time users.”

Michael C.
customer
+

"The impressions and ordering process was simple enough. Fits pretty well though the material feels a bit bulky. I chose the 3mm thinking it would last longer but I think for the bulk, I should have chosen the 2mm. Regardless, I’m happy with the product and service."

Rick A.
customer

NIGHT GUARD PACKAGES INCLUDE

Smile Brilliant custom-fitted teeth grinding night guards are hand-crafted by dental lab technicians. Your package includes custom-fitted guards, travel case, and everything you need to avoid the lengthy (and expensive) dentist visits.

image
Professional Lab Service

Professional dental lab will receive your impressions, create an exact model of your teeth, and fashion a truly custom-fitted night guard.

Custom-fitted Night Guards

Exactly like your dentist would make. Soft yet durable. Fits your teeth perfectly and will not fall out.

1 Impression Tray

Used in combination with impression material to create your dental impression of upper or lower teeth (your preference)

2 Sets of Impression material

make your own dental impressions (1 extra set of material in case you mess up)

Free! 3-Way, pre-paid postage

all postage between you and the lab is covered (2-way for international orders)

Lifetime Reorders. Delivered Fast!

Your dental impressions are kept on file. If you lose or wear down your guards, we can make you new ones fast!

Facts about the best night guards

NIGHT GUARD FAQ

b

What are the negative effects of teeth grinding?

Teeth grinding (or bruxism) can have long-term, devastating effects on the overall health of your teeth. The grinding and clenching motion wears down the teeth making them smaller and permanently sensitive. It also destroys enamel which makes teeth more prone to cavities. Aside from damage, teeth clenching/grinding can cause facial pain, headaches, earaches, pain/stiffness in the jaw, and disruption of sleep.

b

How does a custom night guard help?

Unlike over-the-counter guards, A truly custom-fitted guard ensures a snug fit without falling out or rubbing gums during sleep. Custom-fitted night guards have been offered by dentists for decades as a treatment for both minor and severe teeth grinding/clenching. The trays are generally 2-3mm in thickness and are relatively soft yet durable. This allows a cushion on the bite surface thus eliminating tooth on tooth grinding as well as reducing jaw and tooth soreness due to clenching.

b

How do Smile Brilliant night guards differ from a dentist’s product?

They are the same. Smile Brilliant’s professional dental lab uses the same equipment, material and processes to create our custom-fitted night guards. In fact, for nearly a decade, we have been providing night guard services to dentists who do not have the in-house lab to make trays themselves.

b

How does your lifetime reorder program work?

Smile Brilliant offers a convenient way to quickly reorder night guards and whitening trays after they wear out. Your original dental models are kept on file. When the time comes to get a new tray, simply login to your account (one was automatically created for you at the time of purchase), find your original night guard order, and click the “Reorder Guards/Trays” button. A set of guards or trays will be added to your cart. You can change the quantity if you wish to receive more than one extra night guard or set of whitening trays. We will use your dental model to quickly create a new set of guards/trays and ship them to your door for a very affordable price.

b

Is this a subscription? Will I need to pay more in the future?

No, this is not a subscription. The amount you pay is a one time fee and includes everything you need. You will never be charged any additional fees. If you need to get a replacement tray, you pay a small fee and our lab will make you a new guard from your dental models on file.

b

Can I whiten with my night guards?

The short answer is NO. Although night guards are custom-fitted to your teeth, they are cut different and are not made with the same reservoir to allow gel to stay against the teeth without oozing out. Night guards are meant to fit snug and prevent grinding. Additionally, night guards are worn on the upper OR lower teeth. For this reason, you will not have both an upper AND a lower tray to whiten.

b

Will I receive a night guard for both upper AND lower teeth?

Night guards are generally worn on your upper OR lower teeth. Our packages provide only upper or only lower (you choose based on your preference and comfort).

b

How does the Night Guard system differ from the Whitening System?

Both the Smile Brilliant Night Guard Packages and the Whitening packages come with everything you need to make your own impressions from the comfort of home. The difference is that the night guard system is designed to make only one impression (upper OR lower) where as the teeth whitening system will provide impression material for both upper AND lower.

Additionally, the trays you receive are quite different. Night guards are cut differently and are made from thicker material (to be more durable during grinding). Teeth whitening trays are thinner and designed to have a reservoir to hold the whitening gel in place.

b

How long does it take before I get my custom-fitted night guards?

Once you’ve ordered your tray creation kit, it will be shipped within 24 business hours. Once shipped, you should receive your kit within 3-4 business days (if within the U.S.; International shipping can take up to 14 business days to deliver). You will then need to create your dental impressions, complete your consent card, and send them back to us. We should receive your package within 3-4 business days (within the U.S.; approx. 14 business days international). Our dental lab will then create your custom-fitted night guards! The tray creation process takes 3-6 business days to complete. Once your trays have been shipped, they should reach you within 3-4 business days within the U.S. (approx. 14 business days international).

Trusted by dentists & insurance! The best product, best service, and the largest in the country.

Smile Brilliant is the nation’s largest direct-to-consumer oral care company with nearly 1 million customers and growing. We empower Americans to take back control of their oral health through lab-direct, dentist quality oral care, delivered to your door. Simply put, we offer the best custom-fitted night guards for teeth grinding and clenching at a fraction of the price. They’re made with the same materials and craftsmanship as your local dentist: the perfect fit, ultra-durable and comfortable to sleep in. There’s a reason why we are trusted by dentists, hygienists, and insurance providers alike!

If you are not completely satisfied with your night guards within 45 days, we’ll take it back and issue a full refund.

NO STRINGS ATTACHED.
Shipping icon: a box with a checkmark
FREE SHIPPING OVER $35
Hassle-free returns icon: a package with a return arrow
HASSLE-FREE RETURNS
Secure checkout icon: a shield with a checkmark
100% SECURE CHECKOUT

SUBSCRIBE! Discounts. Recommendations. New products.

smilebrilliant logo

Smile Brilliant makes it easy to improve your oral health & beauty through a suite of professional teeth whitening & oral care products shipped directly to your door.

MAKE A LASTING IMPRESSION!

  • CUSTOM TRAYS & GUARDS
    • Best TRAYS & GUARDS
    • CUSTOM NIGHT GUARDS
      Complete Night Guard System
    • CUSTOM WHITENING TRAYS
      Complete Whitening Trays & Gel System
    • ProShield Custom Sports Mouth Guards
    • Tray Cleaning Tablets
    • NEW! Ultrasonic Tray Cleaner
  • Teeth whitening
    • Best Teeth Whitening
    • CUSTOM WHITENING TRAYS
      Complete Whitening Trays & Gel System
    • NEW! DENTAL STAIN CONCEALER
      Purple Toothpaste Stain Concealer
    • WHITENING GEL REFILLS
      Professional Strength Teeth Whitening Gel
    • DESENSITIZING GEL REFILLS
      Remineralization & Tooth Sensitivity Gel
    • Whitening Tray Cleaning Tablets
    • NEW!  Ultrasonic Tray Cleaner
    • Tray Replacement Reorder
    • Enamel Armour™ for Sensitive Teeth
    • Teeth Whitening Kit Reviews
    • 10 Facts About Teeth Whitening
  • oral Care
    • ORAL CARE PRODUCTS
    • ELECTRIC TOOTHBRUSH
      Best Electric Toothbrush Packages
    • CORDLESS WATER FLOSSER
      Award Winning Electric Water Flosser
    • DENTAL PROBIOTICS
      Bad Breath. Immune Support. Cavities.
    • NEW! LASSO™ TONGUE SCRAPER
      Remove more bacteria in 10 seconds
    • NEW! ENAMEL ARMOUR™
      Rebuilds Enamel & Reduces Sensitivity
    • PLAQUE HIGHLIGHTERS™
      Highlight Plaque & Tartar For Better Brushing
    • DENTAL FLOSS PICKS
      U-Shaped Disposable Floss Tool
    • Replacement Toothbrush Heads
    • Plaque Highlighters™ For Kids!
    • Dental Probiotics For Kids!
    • Retainer Cleaning Tablets
    • NEW!Ultrasonic Cleaner
  • Skin care
  • EDUCATION
    • EDUCATION
    • MASTERING THE BRUSH
      At-home preventive care
    • UNDERSTANDING GUM DISEASE
      What Is Gum Disease?
    • BEYOND THE BRUSH
      Complete Guide To Flossing
    • NAVIGATING BRUXISM
      What is Bruxism?
    • THE VARIOUS CAUSES OF BRUXISM
      NO SINGLE FACTOR IS SOLELY RESPONSIBLE
    • 10 FACTS ABOUT TEETH WHITENING
      Best Practices for Whitening Teeth
    • Sensitive Teeth Guide
      Causes & Remedies for Sensitive Teeth
    • The Science of Bad Breath
      Causes & Remedies for Bad Breath
    • 5 FACTS ABOUT ORAL PROBIOTICS
      Understanding Oral Micriobiome
    • ANATOMY OF TEETH
      There's more to teeth than most realize
    • Teeth Whitening Knowledge Center
      A crash course education before you invest in your smile.
    • PERIODONTAL DISEASE
      Early stage reversal & late stage management
    • Science & Articles
  • Support
    • Support
    • Frequently Asked Questions
    • REVIEWS
    • Contact Us
    • ABOUT US
    • GUARANTEE
    • Cruelty-Free Certification
privacy policy| product disclaimer| terms of use
privacy policy| product disclaimer| terms of use
Menu
  • DENTAL SAVING PLANS
    • I do NOT HAVE dental insurance
    • I HAVE dental insurance
  • CUSTOM TRAYS & GUARDS
    • CUSTOM NIGHT GUARDS
      Complete Night Guard System
    • CUSTOM WHITENING TRAYS
      Complete Whitening Trays & Gel System
    • PROSHIELD SPORTS GUARDS
      Custom-fitted Sports Mouth Guards
    • Tray Cleaning Tablets
    • NEW! Ultrasonic Tray Cleaner
  • Teeth Whitening
    • CUSTOM WHITENING TRAYS
      Complete Whitening Trays & Gel System
    • NEW! DENTAL STAIN CONCEALER
      Purple Toothpaste Stain Concealer
    • WHITENING GEL REFILLS
      Professional Strength Teeth Whitening Gel
    • DESENSITIZING GEL REFILLS
      Remineralization & Tooth Sensitivity Gel
    • Whitening Tray Cleaning Tablets
    • NEW! Ultrasonic Tray Cleaner
    • Tray Replacement Reorder
    • Enamel Armour™ for Sensitive Teeth
    • Teeth Whitening Kit Reviews
    • 10 Facts About Teeth Whitening
  • NIGHT GUARDS
    • CUSTOM NIGHT GUARDS
      Complete Night Guard System
    • REORDER MORE NIGHT GUARDS
      Existing Customer Login for Fast Reorder
    • Night Guard Cleaning Tablets
    • NEW! Ultrasonic Tray Cleaner
    • NEW! Enamel Building Gel
  • oral Care
    • ELECTRIC TOOTHBRUSH
      Best Electric Toothbrush Packages
    • CORDLESS WATER FLOSSER
      Award Winning Electric Water Flosser
    • DENTAL PROBIOTICS
      Bad Breath. Immune Support. Cavities.
    • NEW! Lasso™ Tongue Scraper
      Remove more bacteria in 10 seconds
    • NEW! ENAMEL ARMOUR™
      Rebuilds Enamel & Reduces Sensitivity
    • PLAQUE HIGHLIGHTERS™
      Highlight Plaque & Tartar For Better Brushing
    • Dental Floss Picks
      U-Shaped Disposable Floss Tool
    • Replacement Toothbrush Heads
    • Plaque Highlighters™ For Kids!
    • Dental Probiotics For Kids!
    • Retainer Cleaning Tablets
    • NEW! Ultrasonic Cleaner
  • NEW! Skin care
  • EDUCATION
    • MASTERING THE BRUSH
      At-home preventive care
    • UNDERSTANDING GUM DISEASE
      What Is Gum Disease?
    • BEYOND THE BRUSH
      Complete Guide To Flossing
    • NAVIGATING BRUXISM
      What is Bruxism?
    • THE VARIOUS CAUSES OF BRUXISM
      NO SINGLE FACTOR IS SOLELY RESPONSIBLE
    • 10 FACTS ABOUT TEETH WHITENING
      Best Practices for Whitening Teeth
    • Sensitive Teeth Guide
      Causes & Remedies for Sensitive Teeth
    • The Science of Bad Breath
      Causes & Remedies for Bad Breath
    • 5 FACTS ABOUT ORAL PROBIOTICS
      Understanding Oral Micriobiome
    • ANATOMY OF TEETH
      There’s more to teeth than most realize
    • Teeth Whitening Knowledge Center
      A crash course education before you invest in your smile.
    • Periodontal Disease
      Early stage reversal & late stage management
    • Science & Articles
  • Support
    • Frequently Asked Questions
    • REVIEWS
    • Contact Us
    • About us
    • Guarantee
    • Cruelty-Free Certification
Shopping Bag
×

SAVE ON NIGHT GUARDS

Check discount availability

Save on your night guards immediately! Gain access to dozens of sitewide discounts whether you're insured or uninsured. Take 30 seconds to see if you qualify!

OR

Past customer? Login

Smile Brilliant will check for available discounts in your geographic region. This discount program is offered exclusively by Smile Brilliant Ventures, Inc.

INSURANCE DISCOUNTS

Check discount availability

Never pay full price for night guards again! Search for available discounts for dozens of insurance providers. Enter your state and select your dental insurance.
Alabama AL
Alaska AK
Arizona AZ
Arkansas AR
California CA
Colorado CO
Connecticut CT
Delaware DE
Florida FL
Georgia GA
Hawaii HI
Idaho ID
Illinois IL
Indiana IN
Iowa IA
Kansas KS
Kentucky KY
Louisiana LA
Maine ME
Maryland MD
Massachusetts MA
Michigan MI
Minnesota MN
Mississippi MS
Missouri MO
Montana MT
Nebraska NE
Nevada NV
New Hampshire NH
New Jersey NJ
New Mexico NM
New York NY
North Carolina NC
North Dakota ND
Ohio OH
Oklahoma OK
Oregon OR
Pennsylvania PA
Rhode Island RI
South Carolina SC
South Dakota SD
Tennessee TN
Texas TX
Utah UT
Vermont VT
Virginia VA
Washington WA
West Virginia WV
Wisconsin WI
Wyoming WY

Select your insurance provider:

  • Featured
  • Featured
  • Featured

Past customer? Login

Smile Brilliant will check for available discounts in your geographic region. This discount program is offered exclusively by Smile Brilliant Ventures, Inc. We are not affiliated with, endorsed by, or in partnership with the insurance provider(s) mentioned on this page. All insurance company names, logos, and trademarks belong to their respective owners.

UNINSURED DISCOUNTS

Check discount availability

No insurance? No problem! Exclusive discounts are available:
Night Guards & oral care products
Dental office visits & procedures
Vision services & RX prescriptions
Alabama AL
Alaska AK
Arizona AZ
Arkansas AR
California CA
Colorado CO
Connecticut CT
Delaware DE
Florida FL
Georgia GA
Hawaii HI
Idaho ID
Illinois IL
Indiana IN
Iowa IA
Kansas KS
Kentucky KY
Louisiana LA
Maine ME
Maryland MD
Massachusetts MA
Michigan MI
Minnesota MN
Mississippi MS
Missouri MO
Montana MT
Nebraska NE
Nevada NV
New Hampshire NH
New Jersey NJ
New Mexico NM
New York NY
North Carolina NC
North Dakota ND
Ohio OH
Oklahoma OK
Oregon OR
Pennsylvania PA
Rhode Island RI
South Carolina SC
South Dakota SD
Tennessee TN
Texas TX
Utah UT
Vermont VT
Virginia VA
Washington WA
West Virginia WV
Wisconsin WI
Wyoming WY

Past customer? Login

Smile Brilliant will check for available discounts in your geographic region. This discount program is offered exclusively by Smile Brilliant Ventures, Inc.

SEARCHING ...

verifying discount availability

CONGRATS!

CONGRATS!

You're eligible for immediate discounts on Night Guards!
You're eligible for immediate discounts on Night Guards!
Email is invalid


Upon submission, the prices of the website will change to reflect the discounts available to you. These discounts are offered at the sole discretion of Smile Brilliant.

back Register Account

Login to Smile br!lliant

Access your Smile Brilliant account to manage your teeth whitening treatments, track orders, and explore personalized oral care solutions.

Forgot Password?
ORDER PROCESSING