Tobacco Stains On Teeth: The cause and available solution
Skip to main content Skip to navigation Skip to footer

Please rotate your device to portrait mode for optimum user experience.

Available discounts

Login to Smile br!lliant

Access your Smile Brilliant account to manage your teeth whitening treatments, track orders, and explore personalized oral care solutions.

Forgot Password?
Back

Reset Password

Lost your password? Please enter your username or email address. You will receive a link to create a new password via email.

My Account

Manage your personal profile
My Account Icon
PROFILE
Manage and edit your name email or password
  • Profile
  • Social
  • Password
  • Insurance Provider
  • Oral Health Questionnaire
Orders and Subscriptions
Track, return or buy items again.
  • Orders
  • Subscriptions
Billing
Manage and edit your billing profiles
  • payment methods
  • Add payment methods
Shipping
Manage your shipping addresses.
  • shipping address
  • Add shipping
Reward
Earn commissions & perks
  • Become anAffiliate
  • referrals
  • Statistics
  • Graphs
  • payouts
  • visits
  • All Referral
  • settings
Customer Support
Connect with Smile Brilliant customer service.
  • All tickets
  • new tickets
Sign Out
Log out of Dashboard

Return or Replace

Return Items

Order Number#

  • Return Item
  • Replace Item
Next
Submit

Cancel Order

SmileBrilliant Logo SmileBrilliant
0
×

Sign up for special offers and updates

×
SUCCESS!

The prices on the website have now been changed to reflect your discounts. An email has also been sent to your inbox so you can login and access your discounts at any time in the future.

See deals now!
×
SUCCESS!

The prices on the website have now been changed to reflect your discounts. An email has also been sent to your inbox so you can login and access your discounts at any time in the future.

Let's get started!

See Dental/vision/RX discounts
Gum Disease Awareness SaleGum Disease Awareness Sale Sale Ends:
 [ days :
hrs
:
mins
: sec ]
SEE DEALS
SmileBrilliant Logo SmileBrilliant
  • DENTAL SAVING PLANS
    • SH!NE DENTAL SAVINGS PLANS
    • Instant savings on
      oral care products & dental services.
    • I do NOT HAVE dental insurance
    • I have dental insurance
  • CUSTOM TRAYS & GUARDS
    • Best TRAYS & GUARDS
    • CUSTOM NIGHT GUARDS
      Complete Night Guard System
    • CUSTOM WHITENING TRAYS
      Complete Whitening Trays & Gel System
    • PROSHIELD SPORTS GUARDS
      Custom-fitted Sports Mouth Guards
    • Tray Cleaning Tablets
    • NEW! Ultrasonic Tray Cleaner
  • Teeth whitening
    • Best Teeth Whitening
    • CUSTOM WHITENING TRAYS
      Complete Whitening Trays & Gel System
    • NEW! DENTAL STAIN CONCEALER
      Purple Toothpaste Stain Concealer
    • WHITENING GEL REFILLS
      Professional Strength Teeth Whitening Gel
    • DESENSITIZING GEL REFILLS
      Remineralization & Tooth Sensitivity Gel
    • Whitening Tray Cleaning Tablets
    • NEW! Ultrasonic Tray Cleaner
    • Tray Replacement Reorder
    • Enamel Armourâ„¢ for Sensitive Teeth
    • Teeth Whitening Kit Reviews
    • 10 Facts About Teeth Whitening
  • NIGHT GUARDS
    • CUSTOM NIGHT GUARDS
    • CUSTOM NIGHT GUARDS
      Complete Night Guard System
    • REORDER MORE NIGHT GUARDS
      Existing Customer Login for Fast Reorder
    • Night Guard Cleaning Tablets
    • NEW! Ultrasonic Tray Cleaner
    • NEW! Enamel Building Gel
  • oral Care
    • ORAL CARE PRODUCTS
    • ELECTRIC TOOTHBRUSH
      Best Electric Toothbrush Packages
    • CORDLESS WATER FLOSSER
      Award Winning Electric Water Flosser
    • DENTAL PROBIOTICS
      Bad Breath. Immune Support. Cavities.
    • NEW! LASSOâ„¢ TONGUE SCRAPER
      Remove more bacteria in 10 seconds
    • NEW! ENAMEL ARMOURâ„¢
      Rebuilds Enamel & Reduces Sensitivity
    • PLAQUE HIGHLIGHTERSâ„¢
      Highlight Plaque & Tartar For Better Brushing
    • DENTAL FLOSS PICKS
      U-Shaped Disposable Floss Tool
    • Replacement Toothbrush Heads
    • Plaque Highlightersâ„¢ For Kids!
    • Dental Probiotics For Kids!
    • Retainer Cleaning Tablets
    • NEW! Ultrasonic Cleaner
  • NEW! Skin care
  • EDUCATION
    • EDUCATION
    • MASTERING-THE-BRUSH
      At-home preventive care
    • UNDERSTANDING GUM DISEASE
      What Is Gum Disease?
    • BEYOND THE BRUSH
      Complete Guide To Flossing
    • NAVIGATING BRUXISM
      What is Bruxism?
    • THE VARIOUS CAUSES OF BRUXISM
      NO SINGLE FACTOR IS SOLELY RESPONSIBLE
    • 10 FACTS ABOUT TEETH WHITENING
      Best Practices for Whitening Teeth
    • Sensitive Teeth Guide
      Causes & Remedies for Sensitive Teeth
    • The Science of Bad Breath
      Causes & Remedies for Bad Breath
    • 5 FACTS ABOUT ORAL PROBIOTICS
      Understanding Oral Micriobiome
    • ANATOMY OF TEETH
      There's more to teeth than most realize
    • Teeth Whitening Knowledge Center
      A crash course education before you invest in your smile.
    • PERIODONTAL DISEASE
      Early stage reversal & late stage management
    • Science & Articles
  • Support
    • Support
    • Frequently Asked Questions
    • REVIEWS
    • Contact Us
    • About Us
    • Guarantee
    • Cruelty-Free Certification
text added
0
Available discounts
 1  2  3  4
Get $25
Science & Articles >> TEETH WHITENING

Tobacco Stains On Teeth

Erin Stelbrink, RDH

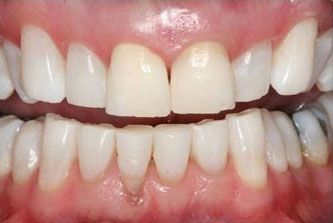
The Complete Guide To White Teeth For Smokers

brushing tobacco stains from teeth

brushing tobacco stains from teeth
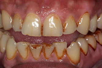
dentist removing tobacco stains from teeth

HOW DOES TOBACCO STAIN TEETH?

Your teeth have pores just like your skin. The nicotine and tar in tobacco easily absorbs into these pores causing a yellow or brown discoloration. Although nicotine, by itself, is colorless, when combined with oxygen, it turns yellow. This means that even electronic cigarettes with nicotine infused “ejuice” can stain your teeth. Often, smokers will have certain teeth that become darker than others due to their method of inhalation.

In the case of chewing tobacco, the brown tobacco mixed with saliva creates a dark brown liquid that is extremely staining. The persistence of such liquid (and the fact that it often rests against the teeth for a long period of time) will heavily stain the teeth it comes in contact with.


WHY ARE TOBACCO STAINS DIFFICULT TO REMOVE?

Tobacco stains on teeth are often difficult to remove because they have occurred over years of smoking. The stains have settled deep into the enamel and often will penetrate to the outer layer of the dentin.

Fortunately, these stains are not at permanent and can be removed with professional teeth whitening.

VIEW WHITENING KITS

WHY DO I SEE DARKER STAINS AROUND EDGES OF MY TEETH?

There are 2 reasons why smokers may see darker staining around the edges of their teeth or near the gum line:

brushing tobacco stains from teeth

Tobacco stains on tooth edges
The edges of the teeth (where two teeth meet) are the primary areas where tartar builds up. Tartar is far more porous than enamel and thus will absorb the stains of nicotine and tar much faster. People who see staining on the edges of their teeth generally do not floss or do not get regular dental cleanings.

dentist removing tobacco stains from teeth

Tobacco stains near gum line
Another negative effect of smoking is receding gum lines. This means that the gums begin to shrink and pull away from the teeth (thus exposing more of the root of the tooth). Roots of your teeth are not covered with with same thickness of enamel and are made up of softer, more porous dentin material. Dentin will stain much quicker. Fortunately, dentin can also be whitened much faster.


HOW DO I REMOVE TOBACCO STAINS FROM TEETH?

Although smoking or chewing tobacco is amongst the most staining habits you can engage in, smokers are also the most likely to see dramatic results with a professional teeth whitening product.

The key to removing deeper tobacco stains is to ensure that quality teeth whitening gel stays in constant contact with every angle of every tooth for a prolonged period of time. Smoke deeply stains every tooth in the mouth and you simply will not be able to whiten long enough with over-the-counter products such as toothpastes or whitening strips. For this reason, smokers generally rely on the professional services of dentists or Smile Brilliant.

NOTE: It is highly recommended that you visit a dentist for a comprehensive cleaning to remove all tartar and plaque buildup around the gums/edges of teeth to get optimal results during whitening.


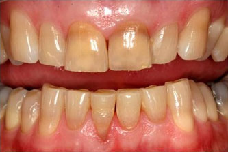
WHICH TEETH WHITENING KIT DO YOU RECOMMEND FOR TOBACCO STAINS? WHY?


brushing tobacco stains from teeth

dentist removing tobacco stains from teeth
VIEW THESE KITS

If you smoked or still smoke, your teeth will quickly absorb the tar and nicotine stains after whitening. It is critical to temporarily block pores in the teeth and help remineralize the teeth so as to reduce the occurrences of restaining. This is why hygienists recommend the desensitizing gel included with all Smile Brilliant “Sensitive Teeth” packages.

Because your stains are set deeper in the tooth than the average superficial stains caused by everyday food/drink, you will require more whitening sessions than the average person. Since the average person requires 7-12 treatments and each teeth whitening syringe offers 3 applications, it is recommended that you purchase the Smile Brilliant Kit that includes 6 or 9 syringes of whitening gel. This delivers a minimum of 18-27 applications (respectively).


WHAT IS THE BEST PROCEDURE FOR WHITENING TEETH WITH TOBACCO STAINS?
(as recomended by dental hygienists)

It is best to whiten just before bed! This ensures that you are not eating food or smoking immediately after whitening and gives your teeth the ability to rehydrate and remineralize overnight.

Brush your teeth with water (no toothpaste). The fluoride in toothpaste reduces the ability for whitening gel to penetrate deeper into the teeth.

Whiten for 45 minutes to 3 hours. People with sensitive teeth have difficulty whitening for long periods of time. Start with 1 hour and see how it feels. Whiten up to 3 hours for fastest results. Some sensitive is natural so don’t be alarmed! It’s only temporary.

Clean your whitening trays and brush your teeth normally (with toothpaste)

Put the desensitizing gel into your whitening trays and wear them for 20 minutes. Thereafter, remove the trays but do not brush or rinse! Simply discard excess gel in your mouth. This will leave a thin layer of desensitizing gel on your teeth to further help with remineralizing teeth and preventing restaining/sensitivity.

Sleep!…and don’t smoke or eat/drink anything with color.

PRO TIP: Immediately after whitening, your teeth are more susceptible to restaining! The longer you can go without smoking or drinking liquids with color, the better!

10 KEY FACTS ABOUT TEETH WHITENING

HOW CAN I REDUCE FUTURE TOBACCO STAINS?

The biggest way to reduce future tobacco stains is to never smoke or chew again…but surely everyone already tells you that! If tobacco products will remain a staple in your everyday habits, there are some steps you can take to dramatically reduce tooth discoloration:

Brush, floss and rinse regularly

Get your bi-annual dentist cleanings

Use a protective fluoride treatment like Smile Brilliant’s Desensitizing gel to reduce future staining

LEARN ABOUT STAIN PREVENTION GEL

TOBACCO STAIN REMOVAL MYTHS

Whitening strips: Whitening strips have a good quality whitening agent in them but they are too loose and sticky to wear for a prolonged period of time. Further, if your teeth are not perfectly straight, you are certain to have some teeth that become whiter than others. Whitening strips are not a good product for smokers.

LED teeth whitening: Blue light LED whitening products are very popular but THEY DO NOT WORK! We know because we used to sell them…but stopped! Ultraviolet light helps speed up the whitening process but UV whitening is FDA regulated and only available in dental offices. The over-the-counter blue LED lights do not create the UV light frequency and thus do nothing more than light up your mouth

LED teeth whitening is the biggest gimmick in the teeth whitening industry today.

Whitening toothpaste: Whitening toothpaste is often abrasive and will slowly thin the enamel of your teeth over time. Although these products can remove very superficial stains, the whitening agents in toothpaste cannot penetrate deep enough to remove the stains associated with tobacco. Smokers are free to use whitening toothpastes but you will never see complete results.

GET PROFESSIONAL TEETH WHITENING
Erin Stelbrink

Erin Stelbrink is a Registered Dental Hygienist with 5+ years of experience as a licensed hygienist and oral health care professional. She holds a passion for researching and acquiring awareness of the latest technologies and methods for providing valuable health care service and clinical treatment. Have more questions? Email Erin at [email protected]

RELATED ARTICLES

Professional teeth whitening at the dentist

By: Kari Carter-Cherelus

Teeth whitening: tips & real expectations from a dental hygienist

By: Lacy Walker

Why custom-fitted whitening trays are still the best in 2023

By: Rachel Stroble

7 tips to handle tooth sensitivity caused by whitening

By: Kari Carter-Cherelus

The little-known secret to teeth whitening – low pH

By: Lacy Walker

TOPICS

  • ALL
  • BAD BREATH
  • BRAND
  • BRUSHING & FLOSSING
  • CAVITIES
  • DRY MOUTH
  • FOR PROFESSIONALS
  • GINGIVITIS
  • KIDS
  • MEDICAL CONDITIONS
  • NEWS
  • ORAL MICROBIOME
  • Oral-Systemic Health
  • PH
  • PRODUCT REVIEW
  • TEETH GRINDING
  • TEETH WHITENING
  • TOOTH PAIN
Shipping icon: a box with a checkmark
FREE SHIPPING OVER $35
Hassle-free returns icon: a package with a return arrow
HASSLE-FREE RETURNS
Secure checkout icon: a shield with a checkmark
100% SECURE CHECKOUT

SUBSCRIBE! Discounts. Recommendations. New products.

smilebrilliant logo

Smile Brilliant makes it easy to improve your oral health & beauty through a suite of professional teeth whitening & oral care products shipped directly to your door.

MAKE A LASTING IMPRESSION!

  • CUSTOM TRAYS & GUARDS
    • Best TRAYS & GUARDS
    • CUSTOM NIGHT GUARDS
      Complete Night Guard System
    • CUSTOM WHITENING TRAYS
      Complete Whitening Trays & Gel System
    • ProShield Custom Sports Mouth Guards
    • Tray Cleaning Tablets
    • NEW! Ultrasonic Tray Cleaner
  • Teeth whitening
    • Best Teeth Whitening
    • CUSTOM WHITENING TRAYS
      Complete Whitening Trays & Gel System
    • NEW! DENTAL STAIN CONCEALER
      Purple Toothpaste Stain Concealer
    • WHITENING GEL REFILLS
      Professional Strength Teeth Whitening Gel
    • DESENSITIZING GEL REFILLS
      Remineralization & Tooth Sensitivity Gel
    • Whitening Tray Cleaning Tablets
    • NEW!  Ultrasonic Tray Cleaner
    • Tray Replacement Reorder
    • Enamel Armourâ„¢ for Sensitive Teeth
    • Teeth Whitening Kit Reviews
    • 10 Facts About Teeth Whitening
  • oral Care
    • ORAL CARE PRODUCTS
    • ELECTRIC TOOTHBRUSH
      Best Electric Toothbrush Packages
    • CORDLESS WATER FLOSSER
      Award Winning Electric Water Flosser
    • DENTAL PROBIOTICS
      Bad Breath. Immune Support. Cavities.
    • NEW! LASSOâ„¢ TONGUE SCRAPER
      Remove more bacteria in 10 seconds
    • NEW! ENAMEL ARMOURâ„¢
      Rebuilds Enamel & Reduces Sensitivity
    • PLAQUE HIGHLIGHTERSâ„¢
      Highlight Plaque & Tartar For Better Brushing
    • DENTAL FLOSS PICKS
      U-Shaped Disposable Floss Tool
    • Replacement Toothbrush Heads
    • Plaque Highlightersâ„¢ For Kids!
    • Dental Probiotics For Kids!
    • Retainer Cleaning Tablets
    • NEW!Ultrasonic Cleaner
  • Skin care
  • EDUCATION
    • EDUCATION
    • MASTERING THE BRUSH
      At-home preventive care
    • UNDERSTANDING GUM DISEASE
      What Is Gum Disease?
    • BEYOND THE BRUSH
      Complete Guide To Flossing
    • NAVIGATING BRUXISM
      What is Bruxism?
    • THE VARIOUS CAUSES OF BRUXISM
      NO SINGLE FACTOR IS SOLELY RESPONSIBLE
    • 10 FACTS ABOUT TEETH WHITENING
      Best Practices for Whitening Teeth
    • Sensitive Teeth Guide
      Causes & Remedies for Sensitive Teeth
    • The Science of Bad Breath
      Causes & Remedies for Bad Breath
    • 5 FACTS ABOUT ORAL PROBIOTICS
      Understanding Oral Micriobiome
    • ANATOMY OF TEETH
      There's more to teeth than most realize
    • Teeth Whitening Knowledge Center
      A crash course education before you invest in your smile.
    • PERIODONTAL DISEASE
      Early stage reversal & late stage management
    • Science & Articles
  • Support
    • Support
    • Frequently Asked Questions
    • REVIEWS
    • Contact Us
    • ABOUT US
    • GUARANTEE
    • Cruelty-Free Certification
privacy policy| product disclaimer| terms of use
privacy policy| product disclaimer| terms of use
Menu
  • DENTAL SAVING PLANS
    • I do NOT HAVE dental insurance
    • I HAVE dental insurance
  • CUSTOM TRAYS & GUARDS
    • CUSTOM NIGHT GUARDS
      Complete Night Guard System
    • CUSTOM WHITENING TRAYS
      Complete Whitening Trays & Gel System
    • PROSHIELD SPORTS GUARDS
      Custom-fitted Sports Mouth Guards
    • Tray Cleaning Tablets
    • NEW! Ultrasonic Tray Cleaner
  • Teeth Whitening
    • CUSTOM WHITENING TRAYS
      Complete Whitening Trays & Gel System
    • NEW! DENTAL STAIN CONCEALER
      Purple Toothpaste Stain Concealer
    • WHITENING GEL REFILLS
      Professional Strength Teeth Whitening Gel
    • DESENSITIZING GEL REFILLS
      Remineralization & Tooth Sensitivity Gel
    • Whitening Tray Cleaning Tablets
    • NEW! Ultrasonic Tray Cleaner
    • Tray Replacement Reorder
    • Enamel Armourâ„¢ for Sensitive Teeth
    • Teeth Whitening Kit Reviews
    • 10 Facts About Teeth Whitening
  • NIGHT GUARDS
    • CUSTOM NIGHT GUARDS
      Complete Night Guard System
    • REORDER MORE NIGHT GUARDS
      Existing Customer Login for Fast Reorder
    • Night Guard Cleaning Tablets
    • NEW! Ultrasonic Tray Cleaner
    • NEW! Enamel Building Gel
  • oral Care
    • ELECTRIC TOOTHBRUSH
      Best Electric Toothbrush Packages
    • CORDLESS WATER FLOSSER
      Award Winning Electric Water Flosser
    • DENTAL PROBIOTICS
      Bad Breath. Immune Support. Cavities.
    • NEW! Lassoâ„¢ Tongue Scraper
      Remove more bacteria in 10 seconds
    • NEW! ENAMEL ARMOURâ„¢
      Rebuilds Enamel & Reduces Sensitivity
    • PLAQUE HIGHLIGHTERSâ„¢
      Highlight Plaque & Tartar For Better Brushing
    • Dental Floss Picks
      U-Shaped Disposable Floss Tool
    • Replacement Toothbrush Heads
    • Plaque Highlightersâ„¢ For Kids!
    • Dental Probiotics For Kids!
    • Retainer Cleaning Tablets
    • NEW! Ultrasonic Cleaner
  • NEW! Skin care
  • EDUCATION
    • MASTERING THE BRUSH
      At-home preventive care
    • UNDERSTANDING GUM DISEASE
      What Is Gum Disease?
    • BEYOND THE BRUSH
      Complete Guide To Flossing
    • NAVIGATING BRUXISM
      What is Bruxism?
    • THE VARIOUS CAUSES OF BRUXISM
      NO SINGLE FACTOR IS SOLELY RESPONSIBLE
    • 10 FACTS ABOUT TEETH WHITENING
      Best Practices for Whitening Teeth
    • Sensitive Teeth Guide
      Causes & Remedies for Sensitive Teeth
    • The Science of Bad Breath
      Causes & Remedies for Bad Breath
    • 5 FACTS ABOUT ORAL PROBIOTICS
      Understanding Oral Micriobiome
    • ANATOMY OF TEETH
      There’s more to teeth than most realize
    • Teeth Whitening Knowledge Center
      A crash course education before you invest in your smile.
    • Periodontal Disease
      Early stage reversal & late stage management
    • Science & Articles
  • Support
    • Frequently Asked Questions
    • REVIEWS
    • Contact Us
    • About us
    • Guarantee
    • Cruelty-Free Certification
Shopping Bag
×

DISCOUNT ACCESS

Check discount availability

Never pay full price for oral care again! Smile Brilliant offers exclusive discounts to insured and uninsured individuals on dozens of products and services. Take 30 seconds to see if you qualify!
OR

Past customer? Login

Smile Brilliant will check for available discounts in your geographic region. This discount program is offered exclusively by Smile Brilliant Ventures, Inc.

INSURANCE DISCOUNTS

Check discount availability

Never pay full price for oral care again! Search for available discounts for members of dozens of insurance providers. Enter your state and select your dental insurance.
Alabama AL
Alaska AK
Arizona AZ
Arkansas AR
California CA
Colorado CO
Connecticut CT
Delaware DE
Florida FL
Georgia GA
Hawaii HI
Idaho ID
Illinois IL
Indiana IN
Iowa IA
Kansas KS
Kentucky KY
Louisiana LA
Maine ME
Maryland MD
Massachusetts MA
Michigan MI
Minnesota MN
Mississippi MS
Missouri MO
Montana MT
Nebraska NE
Nevada NV
New Hampshire NH
New Jersey NJ
New Mexico NM
New York NY
North Carolina NC
North Dakota ND
Ohio OH
Oklahoma OK
Oregon OR
Pennsylvania PA
Rhode Island RI
South Carolina SC
South Dakota SD
Tennessee TN
Texas TX
Utah UT
Vermont VT
Virginia VA
Washington WA
West Virginia WV
Wisconsin WI
Wyoming WY

Select your insurance provider:

  • Featured
  • Featured
  • Featured

Past customer? Login

Smile Brilliant will check for available discounts in your geographic region. This discount program is offered exclusively by Smile Brilliant Ventures, Inc. We are not affiliated with, endorsed by, or in partnership with the insurance provider(s) mentioned on this page. All insurance company names, logos, and trademarks belong to their respective owners.

UNINSURED DISCOUNTS

Check discount availability

No insurance? No problem! Exclusive discounts are available:
Whitening & oral care products
Dental office visits & procedures
Vision services & RX prescriptions
Alabama AL
Alaska AK
Arizona AZ
Arkansas AR
California CA
Colorado CO
Connecticut CT
Delaware DE
Florida FL
Georgia GA
Hawaii HI
Idaho ID
Illinois IL
Indiana IN
Iowa IA
Kansas KS
Kentucky KY
Louisiana LA
Maine ME
Maryland MD
Massachusetts MA
Michigan MI
Minnesota MN
Mississippi MS
Missouri MO
Montana MT
Nebraska NE
Nevada NV
New Hampshire NH
New Jersey NJ
New Mexico NM
New York NY
North Carolina NC
North Dakota ND
Ohio OH
Oklahoma OK
Oregon OR
Pennsylvania PA
Rhode Island RI
South Carolina SC
South Dakota SD
Tennessee TN
Texas TX
Utah UT
Vermont VT
Virginia VA
Washington WA
West Virginia WV
Wisconsin WI
Wyoming WY

Past customer? Login

Smile Brilliant will check for available discounts in your geographic region. This discount program is offered exclusively by Smile Brilliant Ventures, Inc.

SEARCHING ...

verifying discount availability

CONGRATS!

CONGRATS!

At least 10 discounts available
in your area.
At least 10 discounts available
in your area.
Email is invalid


Upon submission, the prices of the website will change to reflect the discounts available to you. These discounts are offered at the sole discretion of Smile Brilliant.

back Register Account

Login to Smile br!lliant

Access your Smile Brilliant account to manage your teeth whitening treatments, track orders, and explore personalized oral care solutions.

Forgot Password?
ORDER PROCESSING